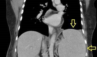
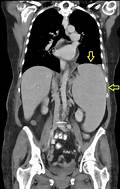
A patient presents with fever and chills, is diaphoretic, and reports experiencing abdominal and intermittent left shoulder pain for the past week. An
ultrasound shows an enlarged spleen. Vital signs are:
BP 106/59
HR 118
RR 23
T 101.2 F (38.4 C)
When reviewing the lab report, which of the following findings is most significant to this presentation?


The patient's presentation is suggestive of splenic abscess, which is a rare but serious complication of splenomegaly. Splenic abscess is caused by bacterial or fungal infection of the spleen, usually from hematogenous spread or contiguous spread from adjacent organs. The most common symptoms are fever, chills, abdominal pain, and left shoulder pain (Kehr sign). The most significant laboratory finding is positive blood cultures, which indicate systemic infection and sepsis. Other laboratory findings may include leukocytosis, anemia, thrombocytopenia, elevated inflammatory markers, and abnormal liver function tests. However, these are nonspecific and may vary depending on the underlying cause of splenomegaly and the type of microorganism involved.
Splenic Abscess - Infectious Disease Advisor
Cross-sectional imaging findings of splenic infections: is ... - Springer
Gail
2 months agoOzell
2 months agoAzalee
2 months agoBrynn
2 months agoEmile
2 months agoIra
2 months agoSilva
3 months agoStephania
3 months agoAdria
3 months agoKirby
3 months agoLennie
3 months agoDong
3 months agoMiss
4 months agoNoble
4 months agoLeonard
4 months agoRessie
4 months agoBlythe
5 months agoRoyal
5 months agoCherry
5 months agoLina
5 months agoLino
5 months agoRueben
6 months agoAdell
11 days agoGarry
16 days agoTarra
22 days agoCherelle
27 days agoGerald
4 months ago